Carissimo Socio,
quarto appuntamento per l’edizione 2025 della rubrica SIECVI Case Study Quiz!
Cliccando sul pulsante potrai trovare il nuovo caso:
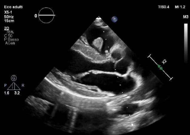
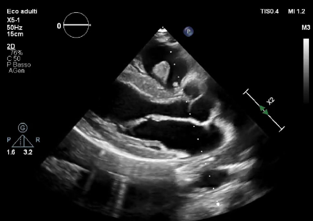
Continua la nuova edizione 2025 la rubrica SIECVI Case Study Quiz con il caso clinico della dott.ssa Paola Siena (SIECVI Puglia) selezionato dalla commissione dedicata del Settore Operativo Comunicazione per i contenuti interessanti e utili alla formazione.
Il format è ormai collaudato e prevede la tua partecipazione attiva, rispondendo alle domande poste dall’autore.
Enjoy!
Click to rate this post!
[Total: 1 Average: 5]






